It’s one thing to crack a tooth, but quite another to discover that a piece of it has snapped off and the root is still embedded in your gums. Whether it happened during an accidental bite into something hard or as a result of long-term tooth decay, having a tooth broken with the root still in the gums can lead to serious dental complications if not addressed promptly.
This in-depth guide explores what occurs when a tooth breaks but the root remains in the gum, how it may impact your oral health, which treatment options are available, and why seeing a dentist promptly is vital to avoid further dental complications.
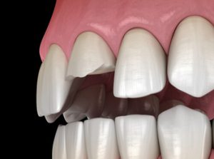
Understanding the Anatomy: What Happens When a Tooth Breaks?

This situation may go unnoticed initially, especially if there’s no severe tooth pain, but over time, the remaining root can become infected or lead to gum irritation, requiring prompt treatment.
Common Causes of Tooth Breaks with Roots Remaining in Gums
A tooth broken root still in gums scenario can occur due to several reasons, including:
- Biting hard foods such as nuts, ice, or popcorn kernels
- Advanced tooth decay weakening the tooth structure
- A history of cracked teeth or fractured tooth roots
- Blunt trauma to the mouth or jaw
- Root canal therapy that previously left the tooth structure fragile
- Age-related wear and tear on tooth enamel
Each of these causes can compromise the remaining tooth structure, increasing the risk of breakage beneath the gum line.
Signs You May Have a Broken Tooth Root Left Behind
If you’ve experienced a dental fracture or tooth loss, here are signs that the broken root might still be embedded in your gum:
- Swelling or tenderness in the surrounding gum
- Pain when chewing or touching the area
- Redness or infection near the break site
- Pus or drainage from the gum line
- A visible fragment protruding from the gums
- A lingering broken tooth pain that doesn’t resolve
Sometimes, no symptoms are immediately obvious, which is why visiting a dental clinic is crucial after a dental emergency, even if the discomfort seems minor.
Types of Tooth Fractures That Leave Roots Behind
Not all fractured teeth are alike. The way a tooth breaks can determine whether the root, still in the gum, becomes a concern.
- Vertical root fracture: These cracks run down the length of the tooth and may go unnoticed until they cause infection or gum disease.
- Fractured tooth root staying in place often occurs with teeth that have undergone prior root canals or had large dental fillings.
- Broken molar: Due to their structure and location, molars are particularly susceptible to breaking and leaving fragments in the gum.
- Tooth broken below the gum line: This situation almost always leaves part of the tooth root intact and may require your dentist to remove it.
Can a Broken Tooth Root Be Left in the Gum?
In rare cases, a broken tooth root left behind may not cause immediate problems. However, it can lead to:
- Infection of the pulp tissue
- Abscess formation
- Inflammation of the surrounding bone
- Risk to neighbouring tooth roots
- Delayed healing or dental emergencies in the future
Dentists typically do not recommend leaving broken roots in place unless removal poses more risk than benefit. Even if there are no immediate symptoms, leaving the remaining tooth piece behind increases the chances of developing a more serious dental issue later on.
Treatment Options for a Tooth with a Root Still Embedded
Depending on the severity and location of the broken tooth root, your dentist may recommend one of the following treatment options:
1. Tooth Extraction
If the tooth’s broken root is still in the gums and is causing pain, infection, or instability, extraction is often the first step. This involves removing the remaining root from the socket. This is typically done under local anaesthetic and is a routine procedure at most dental practices.
2. Surgical Extraction by Your Dentist
In cases where the broken root is deeply embedded or located close to nerves or sinuses, your dentist may determine that a surgical approach is needed. They will carefully assess and remove the root using appropriate instruments and imaging guidance.
3. Root Canal Therapy
If the root is intact and not infected, root canal therapy may be an option to preserve the remaining tooth structure. This is more likely in cases where only the crown is missing, but the tooth root is still viable.
4. Dental Implants
Once the tooth root is removed and the area has healed, a dental implant may be placed to restore the function and appearance of the missing tooth. Implants are titanium posts inserted into the surrounding bone, which act as an artificial tooth root.
5. Dental Bridges or Partial Dentures
For patients not suitable for implants, a bridge or denture may be used to replace the tooth broken off at the gum line. These options restore aesthetics and function but don’t stimulate the jawbone like implants.
6. Dental Crowns and Fillings
If some remaining tooth structure is still above the gum, your dentist may rebuild the tooth using tooth-coloured composite resin, followed by a dental crown to strengthen and protect it.
Why Leaving a Tooth Root Behind Can Be Risky
When a tooth breaks and the root remains, it might not seem urgent, especially if the pain is mild or inconsistent. But a tooth broken root still in gums is more than just a cosmetic concern. It can lead to dental complications like infection, abscesses, or even bone loss in the surrounding bone if not treated promptly.

Also, a broken molar or other broken tooth root left behind can compromise the placement of dental implants later, especially if the remaining tooth piece or broken root isn’t properly removed.
Whether you’re dealing with cracked teeth, a fractured tooth, or a broken tooth root, your best defence is prompt treatment from a dentist. Immediate dental care not only helps relieve tooth pain but also supports your oral health and prevents further complications.
Importance of Prompt Treatment
Delaying treatment for a broken tooth root can increase the risk of further complications, such as:
- Spread of infection
- Bone loss around the tooth roots
- Sinus involvement (especially with upper molars)
- Painful abscesses or cyst formation
- Difficulty with future dental implants
That’s why it’s essential to seek treatment as soon as possible. Acting quickly with professional dental care can stop the issue from worsening and improve your chances of a complete recovery.
How Broken Tooth Roots Affect Oral Health
Leaving a fractured tooth or broken tooth root untreated can impact more than just one affected tooth:
- It can compromise your oral health by harbouring bacteria in unreachable areas.
- The surrounding teeth may gradually move into the empty space, leading to changes in your bite and alignment.
- Jawbone density may decrease due to a missing or broken root, complicating future restorations.
- It can impact self-confidence, especially if the broken teeth are visible when you smile.
Preventing Broken Tooth Roots
Although it’s not always possible to avoid dental emergencies, you can lower the chances of cracked teeth and root fractures by taking the following preventive steps:
- Avoid chewing ice, hard lollies, and other tough items.
- Use a professionally fitted mouthguard if you clench your teeth or are involved in contact sports.
- Make routine visits to your dentist for professional cleaning and oral health assessments.
- Maintain good oral hygiene to prevent tooth decay and gum disease.
- Be cautious with old or large dental fillings, as they can weaken tooth walls over time.
- If you notice sensitivity or minor cracks, address them early before they worsen.
Aftercare: What to Expect After Root Removal
Following the removal of a broken root, your dentist will provide instructions to aid healing:
- Rinse your mouth gently with salt water
- Avoid smoking or drinking through a straw for a few days
- Eat soft foods and avoid the affected tooth until healing progresses
- Take prescribed medications to prevent infection
- Keep up with follow-up appointments for reassessment
Full recovery usually takes a couple of weeks, but your dentist will guide you based on your specific situation.
When to Contact Your Dentist Immediately
Reach out to your dental office or dentist’s office without delay if you experience:
- Fever or swelling
- Persistent bleeding
- Intense pain not relieved by medication
- Signs of infection, like foul odour or discharge
- Difficulty opening your mouth
These symptoms may indicate complications that require urgent attention.
Final Thoughts
If your tooth breaks and you suspect the root remains, don’t delay in getting it assessed. What seems like a small problem could lead to larger dental emergencies if left untreated.
With the help of a trusted dental clinic, you can explore the right treatment options, whether it involves extraction, root canal, or restoration with dental veneers, crowns, or dental implants.
If you’re concerned about having a broken tooth root still in your gums or want clarity on whether extraction, root canal, or a dental implant is right for your situation, book a consultation and call us at (08) 7078 8263.
Note: Any surgical or invasive procedure carries risks. Before proceeding, you should seek a second opinion from an appropriately qualified health practitioner.
Resources
Dunkin, M. A. (2023). ‘Pulling a Tooth (Tooth Extraction)’. WebMD, 30 March. New York, NY: WebMD LLC. https://www.webmd.com/oral-health/pulling-a-tooth-tooth-extraction
Stang, D. (2018). ‘Root Canal’. Healthline, 25 May. San Francisco, CA: Healthline Media. https://www.healthline.com/health/root-canal
Robinson, K. M. (2025). ‘Step-by-Step Guide and Expectations of Dental Implants’. WebMD, 29 January. New York, NY: WebMD LLC. https://www.webmd.com/oral-health/guide-expectations-dental-implants
WebMD Editorial Contributors (2023). ‘Abscess’. WebMD, 8 October. New York, NY: WebMD LLC. https://www.webmd.com/a-to-z-guides/abscess
When to Contact Your Dentist Immediately